Giải mã "Điểm mù" trong tầm soát ung thư vú và lời giải từ Công nghệ ABUS
Nhũ ảnh (mammography) từ lâu được xem là phương pháp chủ lực trong tầm soát ung thư vú. Tuy nhiên, một kết quả “âm tính” không phải lúc nào cũng đồng nghĩa với “an tâm tuyệt đối”, đặc biệt ở nhóm phụ nữ có mô vú đặc. Đây chính là “điểm mù” khiến nhiều tổn thương ác tính có thể bị che khuất trên phim chụp, làm chậm trễ chẩn đoán và điều trị.
Khi "Tiêu chuẩn vàng" bị che khuất
Trong thực hành lâm sàng, mật độ mô vú là yếu tố có thể ảnh hưởng đáng kể đến độ nhạy của nhũ ảnh. Ước tính khoảng 40 -50% phụ nữ có mô vú đặc (mật độ loại C và D theo BI-RADS), độ nhạy của nhũ ảnh giảm sút nghiêm trọng.
“Trắng chồng trắng” là cách nói dễ hiểu cho hiện tượng: mô tuyến vú đặc và khối u đều hiện trắng trên phim, tạo nên hiệu ứng che lấp (masking effect), khiến tổn thương có thể bị bỏ sót dù vẫn nằm trong trường quan sát.

Hình 1. Mô vú càng đặc, khả năng 'tàng hình' của khối u trên nhũ ảnh càng cao
Sức mạnh của tầm soát kết hợp: Nhũ ảnh + ABUS
Trong bối cảnh mô vú đặc làm giảm độ nhạy của nhũ ảnh, việc bổ sung ABUS (Automated Breast Ultrasound – siêu âm vú tự động) thường được xem như một hướng nâng cấp giá trị, giúp “mở rộng trường nhìn” và tăng khả năng phát hiện tổn thương.
- Nhũ ảnh giảm độ nhạy rõ rệt khi mô vú quá đặc: Theo tài liệu tổng hợp về mật độ vú: Mammographic / Breast Density Facts and Issues, độ nhạy phát hiện ung thư của chương trình tầm soát bằng nhũ ảnh có thể giảm từ khoảng ~90% ở BI-RADS A/B, xuống ~84% ở BI-RADS C và chỉ còn khoảng 64% ở BI-RADS D. Sự suy giảm này chủ yếu liên quan đến hiện tượng che lấp (masking effect) trên phim chụp.
- Siêu âm “nhìn” theo cơ chế khác nên dễ tách khối ra khỏi nền mô: Trên siêu âm, nhiều tổn thương dạng khối thường biểu hiện giảm âm (hypoechoic) — tức tối hơn mô xung quanh, nhờ vậy có thể quan sát rõ hơn so với tình trạng “trắng chồng trắng” của nhũ ảnh.
Bằng chứng nghiên cứu
Một nghiên cứu quy mô lớn (SomoInsight) trên 15.318 phụ nữ ghi nhận việc kết hợp nhũ ảnh và ABUS giúp tăng phát hiện ung thư vú xâm lấn thêm 35,7% so với chỉ dùng nhũ ảnh đơn thuần.
“In women with BI-RADS-a or-b, the sensitivity… is high (~90%), but drops… to ~64% for BI-RADS-d.” - Nguồn: Mammographic / Breast Density Facts and Issues
Case Study thực tế: Khi ABUS giúp nhìn rõ điều dễ bị bỏ lỡ
Dưới đây là các ca lâm sàng minh hoạ giá trị của ABUS trong những tình huống thường gặp: phân loại tổn thương, quan sát vùng “khó”, và phát hiện bất thường cấu trúc tinh vi.
Case 1: Phân loại chính xác, tránh can thiệp không cần thiết
Bệnh nhân: 71 tuổi.
Tình trạng: Đánh giá nang vú dạng phức tạp.
Kết quả so sánh:
- HHUS (Hand-held Breast Ultrasound) – Siêu âm 2D truyền thống: Nghi ngờ nang phức tạp – Xếp loại BI-RADS 4 (Cần sinh thiết).

- ABUS: Xác định rõ mức dịch bên trong nang – Xếp loại BI-RADS 2 (Lành tính)

Hình 3. ABUS ghi nhận tổn thương dạng nang phức tạp, có mức dịch–dịch bên trong (mũi tên vàng), phù hợp phân loại BI-RADS 2
- Đối chiếu MRI: Đồng nhất với kết quả ABUS, không ngấm thuốc đối quang từ – Xếp loại BI-RADS 2

Hình 4. MRI cho thấy tín hiệu cao trên chuỗi T1 xóa mỡ, có mức dịch–dịch và không ngấm thuốc đối quang từ (mũi tên vàng), phù hợp với nang phức tạp – BI-RADS 2
Ý nghĩa lâm sàng: ABUS có thể giúp giảm dương tính giả, hạn chế các thủ thuật xâm lấn không thật sự cần thiết
Case 2: Quan sát tối ưu các khối u nhỏ và vị trí khó
Bệnh nhân: 39 tuổi, có khối u sờ thấy được.
Tình trạng: Xuất hiện các khối giảm âm giới hạn rõ ở cả hai vú.
Kết quả:
- HHUS: Phát hiện khối u sờ thấy ở vú trái (BI-RADS 4) và khối vùng sau quầng vú phải (BI-RADS 3).

Hình 5. HHUS: Bên trái: khối sờ thấy được ở vú trái (BI-RADS 4) – Bên phải: khối sau quầng vú ở vú phải (BI-RADS 3).
- ABUS: Hiển thị hình ảnh cực kỳ rõ nét của khối u nhỏ vùng sau quầng vú phải, hỗ trợ đánh giá toàn diện hơn.

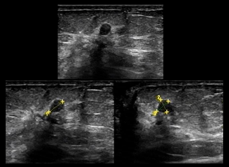
Hình 6. Khối nhỏ sau quầng vú ở vú phải được quan sát rõ trên ABUS (mũi tên vàng) - BIRADS 3

Hình 7. Khối sờ thấy được bên trái được thể hiện rõ trên ABUS.
Ý nghĩa lâm sàng: Nhờ khả năng tái tạo 3D, ABUS giúp bác sĩ quan sát toàn bộ thể tích vú từ nhiều góc độ
Case 3: Phát hiện tổn thương bị bỏ sót bởi siêu âm truyền thống
Bệnh nhân: 56 tuổi.
Tình trạng: Khối giảm âm, giới hạn rõ.
Kết quả:
- HHUS: Chỉ ghi nhận một khối giảm âm - BI-RADS 3.

Hình 8. Khối giảm âm, giới hạn rõ trên HHUS
- ABUS: Ngoài khối u trên còn phát hiện thêm một khối giảm âm không đều, có gai nằm ngay phía sau - BI-RADS 4

Hình 9. Khối giảm âm, bờ rõ quan sát thấy trên ABUS (mũi tên vàng) và khối giảm âm, bờ không đều và có tua gai nằm ngay phía sau (mũi tên cam) – BI-RADS 4
Kết quả mô bệnh học: Sẹo hình tia (Radial scar)
Ý nghĩa lâm sàng: Với lát cắt và mặt phẳng quan sát đặc trưng (ví dụ coronal view) dày 2mm, ABUS cung cấp “bản đồ” cấu trúc mô vú rõ ràng hơn, giúp nhận diện các biến đổi kiến trúc mà siêu âm 2D đôi khi khó thể hiện trọn vẹn.
Thiết lập "Tiêu chuẩn vàng mới" trong tầm soát ung thư vú
Việc dừng lại ở Nhũ ảnh đối với phụ nữ có mô vú đặc không chỉ là một thiếu sót về mặt kỹ thuật mà còn là một cơ hội bị bỏ lỡ trong việc cứu sống bệnh nhân ở giai đoạn sớm nhất.
- Với bệnh nhân: cần một kết quả đáng tin cậy thay vì một sự an tâm giả từ kết quả âm tính giả.
- Với Bác sĩ: ABUS đóng vai trò như công cụ hỗ trợ chuẩn hoá chẩn đoán, dễ xem lại, góp phần giảm sai sót chủ quan.
- Với cơ sở y tế/nhà đầu tư: Đây là thời điểm để tiên phong sở hữu công nghệ Invenia™ ABUS – giải pháp có thể giúp khác biệt hoá dịch vụ tầm soát, tối ưu quy trình và củng cố niềm tin khách hàng.
Breast Center: Information about dense breast tissue
Mammographic / Breast Density Facts and Issues
Benign and malignant characteristics of breast lesions at ultrasound
Liên hệ với VT healthcare để được tư vấn chi tiết và giới thiệu giải pháp phù hợp với nhu cầu của đơn vị bạn.
